
Controlling litter moisture is the key to controlling coccidiosis and necrotic enteritis in broiler houses.
As part of the 2019 Midwest Poultry Federation Convention in Minneapolis, Joe Hess, professor emeritus at Auburn University’s College of Agriculture, shared advice on how to manage broiler litter to set up the most successful environment. The easiest way to control coccidia, and diseases associated with the microscopic parasites, is to maintain dry litter.

Dr. Joe Hess, Auburn University | Courtesy Alabama Cooperative Extension System
The relationship between coccidia and wet litter
As the U.S. broiler industry withdrew the use of subtherapeutic levels of antibiotics to maintain health and improve performance, the incidence of potentially devastating poultry diseases like necrotic enteritis and coccidiosis – both caused by coccidia organisms – has increased.
Now, broiler producers are turning to vaccine programs to help birds fight off the diseases. These programs work by having the birds consume a small amount of the parasite, digest it and defecate it into the litter and recycle it. After a number of cycles, the birds become resistant to the parasite.
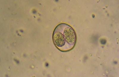
Growers cannot control how their birds are vaccinated, Hess said, but they can enhance their coccidia control efforts by keeping their litter dry. Coccidia starts as an oocyst – a life stage similar to an egg – in the poultry litter, but that oocyst only sporulates – becomes infective to birds – if the litter is hot and humid. If growers keep the litter dry, they can interrupt the life cycle of coccidia and reduce the diseases it causes.
Keep the litter dry
Hess said it’s easier to keep the litter dry than it is to dry it out in between flocks, so maintaining dry litter should be a priority for growers.
Nevertheless, it’s an uphill battle because the birds contribute more moisture to the house and the litter as they get older and grow larger. He said growers that can keep their litter relatively dry through three to four weeks are much less likely to have problems with coccidia.
Maintaining dry litter requires the grower to focus on two things: the drinkers and the ventilation.

Coccidia parasites’ lifecycles are disrupted when they are denied a wet, warm environment. Keeping litter dry can help to prevent the parasitic disease in broiler houses. | TGphoto | Bigstock.com
Drinker management
Drinkers are an obvious source of litter moisture. Leaky or malfunctioning devices for watering the birds can constantly add moisture to the litter.
Hess said the first thing to check is water line height. The drinkers need to be set so most chickens are reaching up to get water from the drinker. If it is set too low, the bird will come at it sideways or duck down to get it, and about a handful of water will fall into the litter each time. However, the lines need to be set low enough so the smallest members of the flock can still reach the water.
The second part of proper management is maintaining clean water lines. Clean nipples are less likely to leak into the litter. Hess recommended cleaning the water lines between each flock by shocking it with a disinfectant, and then thoroughly rinsing it out. When birds are in the house, it’s possible to keep the lines clean by running citric acid, vinegar or another poultry water treatment.
Ventilation management
Managing ventilation to keep litter dry is trickier. Hess said it’s easy to say growers need to keep their fans or heaters running constantly to keep litter dry, but it’s hard for the grower to spend the money to do it. Really, it’s a balancing act for each grower depending on the environmental conditions.
Hess also said it’s important to remember that just because the temperature inside the house is right, it doesn’t mean the moisture level or humidity is right, too. He recalled one instance while visiting a farm in a cool climate where the temperature inside the house was great, and the grower was saving money by not running the fans. However, the lack of air circulation and excess of moisture created a situation where water was condensing on the ceiling and dripping down onto the litter.
Tilling to remove litter moisture between flocks
In the U.S., most farmers are growing on built-up litter that they keep for one or two years. Moisture, along with coccidia oocysts, builds up in that litter and steps must be taken to dry it out during the downtime between flocks. Hess said drier litter can be used longer more effectively.
Windrowing and composting litter between flocks is being used to reduce the pathogen load in the built-up litter, but it may not be removing the moisture effectively.
One method Hess said he’s hearing more about as farms transition to antibiotic-free growing is tilling the litter. After windrowing and composting the litter, growers are spreading the litter back out in the house and tilling it up to allow moisture to escape. After doing this, the heaters are turned on to get the house hot; then fans are turned on to blow that released moisture out of the house entirely.
After two or three of these cycles, the level of moisture is significantly reduced. There is expense associated with this method, as it requires a tilling machine and extra resources for heat and ventilation, but it works to drive down both the moisture and the ammonia level in the litter.
One thing Hess cautioned against is tilling without de-caking the litter. Growers are using de-caking devices to pull the caked (or wet and clumped-up) litter, from the built-up litter. While those who are tilling without de-caking may think they are saving time and costs, they are actually chopping up the caked litter into small chunks without removing any moisture.



















